
Imagen de Dr. Lucas Matias Clerici
Las carillas dentales son unas prótesis que se adhieren fijamente a la cara anterior de cada diente. De esta forma, se busca mejorar los aspectos estéticos como el color, posición de la dentadura o forma y tamaño del diente. En el caso de la forma del diente, estos pueden ser agrandados cuando el paciente tenga un diente muy pequeño o corto. Los especialistas señalan que también se pueden utilizar para cubrir dientes rotos o que han perdido su calidad con el desgaste de los años.
Existen tres tipos de carillas dentales que son las más comunes:

Para colocar las carillas se debe tener buena higiene bucal
Este es un tratamiento recomendado para personas que gocen de una buena salud bucal, de hecho, los especialistas de Dental Advance señalan que es un procedimiento estético que se realiza una vez se hayan tratado, si es el caso, todos los problemas dentales del paciente.
Una carilla dental se coloca en todas aquellas personas que quieren mejorar algún aspecto estético de su diente. Además, se puede realizar en aquellos casos en los que no se desee utilizar ortodoncia para mejorar la posición de los dientes. También en todas aquellas personas que no tienen contraindicado el procedimiento debido a otros problemas bucofaríngeos que no van a mejorar con la colocación de carillas dentales.

Imagen de Salud Odontologica Integral
Se recomienda siempre elegir un odontólogo con experiencia. Es un tratamiento que requiere mucha precisión y conocimiento del tema. Por eso, se debe acudir a un odontólogo con estudios en estética dental como lo señalan algunos profesionales.
Pese a que todos los odontólogos tienen capacidad para poner carillas dentales, los que han realizado cursos en el área de estética dental pueden lograr un trabajo de mayor calidad y unos resultados más naturales. A parte del profesional, la clínica tiene que tener las instalaciones adecuadas y debés sentirte cómodo, comprendido y en buenas manos. En ocasiones, puede ser necesario visitar varias clínicas para comparar y ver qué opciones te ofrecen. Recordá que no debés basar tu decisión solamente en lo económico.

Imagen Dr. Lucas Matias Clerici
Inicialmente, el profesional va a realizar una historia clínica y examen físico odontológico. Cuando se habla de carillas dentales, se va a tomar en cuenta la anatomía de la persona, la sonrisa, la mordida o masticación. Además, antes de someterse al tratamiento se debe asegurar que el paciente no tenga otros problemas odontológicos que deban ser solucionados primero. Por ejemplo, si los dientes se encuentran muy desalineados es muy probable que se recomiende correctores dentales primero. Se debe conversar sobre el presupuesto del paciente y el número de carillas que se requieren. Antes de realizar un tratamiento de estética dental es fundamental tener una primera cita para ver si hay algún problema bucodental. En esta visita realizamos un TAC dental y también, un estudio completo con el fin de detectar cualquier anomalía.
En algunos casos hay quienes optan por realizarse todos los dientes superiores o quienes sólo requieren cuatro carillas para crear una sonrisa equilibrada. También se debe escoger el color que desee y que a su vez, le favorezca a la persona. Por último, antes de realizar el tratamiento se deben tomar moldes, radiografías y fotografías. Una vez que se ha definido todos los temas anteriores, el paciente está listo para realizarse el procedimiento.

Imagen del Dr. Andrés Etbul
La técnica para realizar carillas dentales de composite puede ser indirecta o directa, a continuación detallamos las diferencias:
Por el contrario, la colocación de carillas tanto de porcelana como de Composite(resina) se realiza como el Dr. Lucas Matias Clerici explica a continuación, los primeros pasos son los mismos para ambos tipos:
El aspecto fundamental a tener en cuenta con estos procedimientos y con estos pasos, es que el paciente en pocas sesiones puede obtener la sonrisa que quiere, muchas veces sin el uso de anestesia local y sobre todo evaluar cómo van a quedarle antes de hacer cualquier preparación dentaria.
Por otro lado, el confeccionar el Mock up, también sirve como guía para la preparación dentaria, con lo cual vamos a hacer solo el mínimo desgaste que vamos a necesitar, conservando al máximo la estructura dentaria que este sana.
De otra parte, especialistas del Centro Modelo de Implantología Oral afirman que este proceso no requiere el uso de anestesia local ya que no es doloroso. Las piezas pueden ser colocadas una a una o varias a la vez.

Mantener una buena higiene bucal
Después del procedimiento el paciente puede retornar sus actividades diarias, por lo que no es necesario hacer reposo. El odontólogo te recomendará seguir algunos cuidados posteriores para que las carillas dentales estén en buen estado:

Imagen de Dr. Lucas Matias Clerici
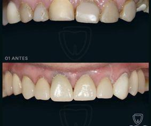
Los resultados serán una sonrisa uniforme, con un color adecuado y unos dientes de tamaño conforme para el contorno de la cara. Además, en la mayoría de los casos, mejorará la autoestima y la seguridad de los pacientes. Sin necesidad de anestesia, los pacientes lucirán unos dientes perfectos, sin desgastarlos y sin acabar con los nervios.
El tratamiento con carillas ofrece una gran sensación de estética dental mientras que al mismo tiempo, se mantiene la naturalidad de la sonrisa. Según los especialistas este tratamiento y el blanqueamiento dental constituyen los procedimientos estéticos más demandados por los famosos.
Al ser un procedimiento poco invasivo no suele presentar riesgos para el paciente. Los efectos se presentan si la persona no tiene los cuidados necesarios para mantener las carillas de composite de manera adecuada. Alguno de los efectos son los siguientes:
Carillas de porcelana. (2019). Dental advance. [online] Available at: http://www.dentaladvance.com.a... [Accessed 12 Mar. 2019].
Fernandez Carol, A. (2019). Odontología Cosmetica Carillas de porcelana. [online] The smile physician. Available at: http://www.smilephysician.com/ [Accessed 12 Mar. 2019].
Tratamientos más populares
Abdominoplastía
Aumento mamas
Borrar tatuajes
Rinoplastia
Otoplastia