Existen dos tipos de prótesis dentales: fijas y removibles. Las primeras se colocan sobre dientes tallados o sobre implantes y las segundas, en cambio, se sujetan al resto de los dientes o a la encía.

Las prótesis son piezas removibles utilizadas para restituir piezas dentales perdidas.
La salud bucal suele ser una de las área de mayor problemática a nivel mundial sea por la falta de accesibilidad a sistemas de prevención o de asistencia, es por eso que la Organización Mundial de la Salud establece que es primordial reconocerla como parte de los los objetivos de salud integral del individuo.
La extensión de las lesiones producidas por las caries, extracciones, daños en la corona o raíz del diente, o la existencia de dientes supernumerarios y erupcionados, el proceso de envejecimiento, y entre otros, pueden ser factores para que un paciente este en un estado desdentado parcial o total, lo cuál afecta no solo su apariencia estética sino su calidad de vida, según explica la Dirección Nacional de Salud Bucodental de Argentina.
Uno de los grandes avances de la odontología ha sido la creación de una variedad de prótesis creadas con la intención de sustituir dientes que se han perdido por daños irreparables, las prótesis es la vía para recuperar tanto la apariencia estética y la fonética, como las funciones biomecánicas de la dentadura (deglucióny y masticado).
De acuerdo con la Facultad de Odontología de la Universidad Nacional de Tucuman, existe una variedad de prótesis que se pueden dividir según su función y material, entre ellas encontramos:
Según el tipo de implantación:
Dentro de las prótesis fijas podemos encontrar:
Entre los diferentes tipos de prótesis removibles tenemos:
Además, debemos tomar en cuenta que las prótesis suelen ser hechas de distintos materiales entre los cuales encontramos:

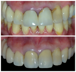
Imagen de Cio Centro Integral Odontológico.
De acuerdo con los protocolos del Ministerio de Salud de Argentina, un paciente puede requerir una prótesis dental en casos de personas con perdida parcial o total de la dentadura o pacientes que no tengan el presupuesto o no deseen realizarse un implante.
El procedimiento también es accesible para aquellas personas que deseen renovar la apariencia de su dentadura de manera general. Sin embargo, es importante destacar que la extracción de una pieza dental y la colocación de un implante fijo o removible debe ser solo realizado por un médico especializado y tras una extensiva evaluación de las condiciones bucodentales del paciente que tome en cuenta las lesiones existentes, tratamientos previos, factores de riesgo, edad, historial médico y las particularidades del paciente.

El tratamiento de prótesis dentales debe ser realizado por un odontólogo certificado.
Para asegurar que el procedimiento será realizado de manera segura debe ser efectuado por un profesional especializado en odontología que cuente con la acreditación para aplicar esta técnica y cuente con espacio que respete los principios bioseguridad necesarios. Podés validar las credenciales del odontólogo visitando la página de instituciones que rigen la ejecución de su labor a nivel nacional como la Asociación Odontológica Argentina.
Además podés corroborar la calidad de su trabajo viendo fotografías de los resultados obtenidos en sus pacientes, si el médico no las provee podés consultar en línea y leer también los comentarios de personas que hayan asistido a su consulta. Dadas las características del tratamiento debés verificar que las instalaciones donde se lleva a cabo el cuentan con los permisos y medidas de sanidad necesarias. También deberás revisar el tipo de implementos utilizados así como el material y calidad del implante. Además, recomendamos investigar muy bien los precios, ya que en ocasiones hay ofertas muy atractivas que al comprarlas pueden resultar engañosas.

La primera consulta con el odontólogo será para realizar un examen dental exhaustivo.
El tratamiento para la instalación de prótesis dentales requiere de varias visitas al odontólogo. La primera consulta es el punto de partida en este proceso y deberá cumplir con un protocolo de diagnóstico y revisión según explica el Ministerio de Salud de Argentina.
En esta primera revisión debe crearse el historial médico del paciente que incluye una evaluación de los tejidos y de los dientes limpios (previamente secados con gasa u algodón), en este momento se tomará notas de las caries (incluidas aquellas sean penetrantes), fístulas, fracturas de esmalte o que expongan la pulpa, manchas, etc, indicando además su extensión y las caras de la pieza dental que abarcan. También se dejará un registro de tratamientos previos que se hayan realizado. Es usual que además de este examen con instrumentos se haga una radiografía para ver las condiciones óseas.
A partir de este examen dentario el médico podrá hacer un diagnóstico y establecer si se deben hacer extracciones, si hay dientes que requieren de una prótesis y de qué tipo, para lo cuál se tomarán las medidas con una muestra de la dentadura, de esta manera se podrá diseñar la pieza con la forma y tamaño adecuado a la morfología bucal del paciente, y eligiendo un color que le de un aspecto natural.

El procedimiento dependerá del tipo de prótesis a aplicar: removible o fija.
El procedimiento de instalación de la prótesis dental dependerá del tipo de pieza que sea recomendada por el médico, el número de dientes que serán rehabilitados entre otros. De manera general podemos describir los procedimientos de esta manera:
Instalación de una prótesis dental fija: Según indican los expertos del Ateneo Argentino de Odontología explica que el procedimiento parte de la implantación de una base en un terreno de soporte que es el hueso mandibular, esta parte de la prótesis suele estar hecha de titanio. Esto permitirá que la prótesis pueda soportar la carga que genera, por ejemplo, masticar el bolo alimenticio. Encima de esta base se instalarán de manera individual las prótesis de cerámica que constituyen la parte visible de la rehabilitación dental.
Procedimiento prótesis dental removible: la Asociación Odontológica Argentina explica que este procedimiento parte del diseño de una pieza para sustituir el diente faltante, esta debe brindar una correcta oclusión y adaptarse a la morfología bucal e intermaxilar. Existen dos tipos de prótesis removibles:
Estos procedimientos se llevan a cabo con la aplicación previa de anestesia local y pueden tomar entre 30 y 40 minutos.
El Ateneo Argentino de Odontología enlista las siguientes ventajas que ofrece al paciente el implante dental:

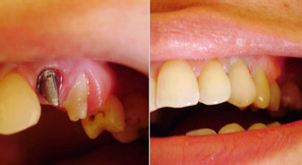
Imagen de Maycenter.
Seguir las recomendaciones postoperatorias indicadas por el odontólogo especialista es crucial para asegurar el correcto proceso de cicatrizado y sustentar los resultados en el tiempo.
El Ateneo Argentino de Odontología brinda los siguientes consejos para el proceso de recuperación, en especial en los casos donde se hayan hecho injertos con bases de titanio en el hueso maxilar:

La correcta limpieza de la pieza asegura que se mantengan los resultados obtenidos.
Si bien la prótesis dental ofrece la rehabilitación de la dentadura perdida, pero tal como el diente natural requiere de cuidados especiales para evitar su deterioro y asegurar su sustento. Para ello podés seguir estas pautas establecidas por la Asociación Odontológica Argentina:
Las prótesis dentales son biocompatibles, es decir, es afín al ambiente bucal y al organismo del paciente, sin embargo, siguen siendo un cuerpo extraño que se inserta en el cuerpo y como tal puede estar relacionado a ciertos efectos secundarios. La Facultad de Odontología de la Universidad Nacional de Tucuman, indica que estas son algunas de las complicaciones más comunes:
Seguir las recomendaciones postoperatorias dadas por el especialista y una correcta higiene bucal es esencial para evitar complicaciones que pueden llevar a tratamientos adicionales e, incluso, el reemplazo de la prótesis.

Las prótesis proveen al paciente una solución sustentable a la pérdida de piezas dentales.
Las prótesis dentales ofrecen resultados a largo plazo al paciente que ha perdido su dentadura de forma parcial o completa, el Ateneo Argentino de Odontología menciona algunos de las mejoras que pueden ser observadas por el paciente tras el tratamiento:
Dirección Nacional de Salud Bucodental. (n.d.). Salud bucodental. [online] Available at: https://www.argentina.gob.ar/s... [Accessed 26 Jun. 2019].
Facultad de Odontología de la Universidad Nacional de Tucumán. (2013).Estomatitis Subprotésica en Adultos Mayores Portadores de Prostodoncia Removible. [online] Available at: https://www.odontologia.unt.edu... [Accessed 10 Aug. 2022].
Ateneo Argentino de Odontología. (2017).Prótesis completa implanto asistida de maxilar inferior. [online] Available at: https://www.ateneo-odontologia... [Accessed 26 Jun. 2019].
Sociedad Odontológica de La Plata. (2019).Técnico Universitario en Prótesis Dentales. [online] Available at: https://www.ucalp.edu.ar/wp-co... [Accessed 26 Jun. 2019].
Tratamientos más populares
Abdominoplastía
Aumento mamas
Borrar tatuajes
Rinoplastia
Labioplastia