
No cuidar la dentadura y encías, podría causar otros problemas de salud
La limpieza dental es ese procedimiento que se encarga de eliminar todo tipo de residuos que, con el tiempo, se acumulan en los dientes y que pueden llegar a causar caries, gingivitis y enfermedades periodontales importantes. El proceso debe ser hecho por un odontólogo profesional y se aconseja someterse a una limpieza al menos cada 6 meses para evitar problemas futuros de salud bucal, que como lo indica el Ministerio de Salud de Argentina, una correcta higiene dental evita la formación de caries.
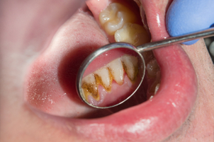
Además, los buenos hábitos de higiene bucal favorecen positivamente la salud de tu boca, no obstante existen zonas imposibles de limpiar con el cepillado recurrente. Para ello existe la limpieza dental, técnicamente conocida como destartraje y que consiste en un procedimiento nada invasivo que permite eliminar la placa bacteriana de los dientes, evitando así que se acumulen depósitos de sarro y la aparición de enfermedades gingivales mucho más graves.
La Gerencia Operativa de Odontología de Buenos Aires menciona que el sagrado de encías es el primer signo de alerta de Gingivitis y si no se trata convenientemente, la enfermedad puede avanzar hasta ocasionar una enfermedad periodontal. Todo ello es posible evitarlo adoptando una rutina de cepillado utilizando hilo dental y por supuesto, asistiendo regularmente a la limpieza con un dentista profesional.
Cabe destacar que la formación de cálculos a causa de la mineralización de la placa dental es inevitable y que existen ciertos factores como la propia predisposición genética que podrían acelerar su aparición. Asimismo, las enfermedades bucales, el tipo de bacteria que se aloja en la boca del paciente y la falta de higiene son auténticos responsables de los depósitos de calcio y fósforo que se alojan alrededor de los dientes.
Según la Clínica Dental y Estética Quirós no cuidar tu dentadura y la salud de tus encías, podría causar otros problemas graves de salud, entre los que mencionan el dolor oral y facial; problemas cardíacos; la afectación de otros órganos principales; y problemas de digestión.

Las consultas dentales periódicas son fundamentales
De acuerdo con cifras del Ministerio de Salud de Argentina, las encías inflamadas, las caries dentales, y la pérdida de piezas dentarias son algunos de los principales problemas de una salud bucal deficiente. A su vez, se estima, a los dos años de edad, porcentaje considerable de niños y niñas desarrollan caries, porcentaje que aumenta considerablemente, alcanzando casi un 100% en la población más adulta.
Y aunque es poco probable que niños pequeños desarrollen sarro, sí es posible que padezcan de tinciones casi imposibles de eliminar con un cepillado regular. Pero, ¿a qué edad es prudente que una persona se realice su primera limpieza dental? Expertos explican que a partir de los 6 o 7 años un niño ya puede comenzar a desarrollar sarro, principalmente en los incisivos inferiores.
Por su parte, la Clínica Mayo, entidad sin ánimo de lucro dedicada a la práctica médica, explica que las consultas dentales periódicas son fundamentales, sobre todo si el paciente consume determinados medicamentos o fuma, ambas condiciones que pueden obligarlo a realizarse una limpieza dental profesional con más frecuencia. Asimismo, destacan la importancia de prestar atención a alguno de estos síntomas que alertan sobre la necesidad de una limpieza dental profesional:

Una limpieza dental la puede realizar un dentista capacitado
El profesional que esté a cargo de nuestra salud bucal es clave, por lo que tomarse el tiempo para evaluar diferentes opciones y documentarse sobre la trayectoria de cada uno determinará, en gran medida, el éxito de cualquier procedimiento dental que pongamos en sus manos.
La limpieza dental, aunque supone un procedimiento sencillo e indoloro en la mayoría de los casos, sigue siendo una de las prácticas fundamentales para lograr una buena higiene oral, por lo que no debes dudar bajo ninguna circunstancia realizártela con un profesional en la materia.
Cabe destacar que una limpieza dental la puede realizar un dentista capacitado para prevenir enfermedades bucodentales y realizar tratamientos dentales de carácter preventivo y reversible. Asimismo, se trata de un procedimiento que debe realizarse exclusivamente en un consultorio dental utilizando equipo y materiales de calidad.
Algunas claves te ayudará a validar todos los puntos que anteriormente te mencionamos: profesionalismo y trayectoria del dentista o higienista dental; condiciones físicas de la consulta; estado del equipo utilizado; calidad de los materiales. Presta atención a estas recomendaciones dadas por expertos y ponte en manos del profesional más idóneo para cuidar tu boca:
No olvides que lo principal es encontrar un profesional que te transmita comodidad y seguridad durante las revisiones regulares que ayudarán a determinar cuándo será necesario realizar una próxima limpieza dental de cara a ayudar a tus encías y dientes a permanecer limpios y sanos.

El profesional explorará el estado de tus dientes y de tu boca en general.
Cuando hayas elegido a tu dentista, tendrás que agendar tu primer turno en el que te someterás a una revisión. En ella el profesional explorará el estado de tus dientes y de tu boca en general. Además, podrán hacerte una serie de preguntas relacionadas con tu estilo de vida y hábitos de higiene bucodental con la finalidad de poder determinar si una limpieza es lo único que necesitas o bien, si tendrás que someterte a otros tratamientos.
Por otro lado, durante la cita será posible identificar la existencia de sangramiento, encías inflamadas o mal aliento. Todas ellas condiciones que alertan sobre la aparición de enfermedades periodontales que pueden evitarse adoptando medidas de revisión, control e higiene.
En cuanto al propio procedimiento, el profesional determinará en el momento de la cita qué tipo de limpieza dental necesitas. En ese sentido, podrá indicarte una limpieza de rutina siempre que no exista ninguna enfermedad avanzada de encías, o una limpieza profunda si ya padeces de periodontitis.
Durante la primera cita no dudes en transmitir al dentista o higienista profesional todas tus inquietudes y compartirle cualquier síntoma que hayas experimentado durante los últimos meses. Para sacar el máximo provecho a tu cita, sigue las recomendaciones de Medline Plus, la Biblioteca Nacional de Medicina de los Estados Unidos, y consulta a tu dentista sobre las siguientes cuestiones:

Se busca es la eliminación de la placa bacteriana, el sarro y manchas en los dientes
Tal como lo explican profesionales, programar controles dentales regulares y preventivos es vital para lograr una excelente salud bucodental, y es que al tratarse de un procedimiento sumamente sencillo no supone para el paciente ninguna incomodidad significativa, ni muchos menos algún tipo de preparación previa.
Puesto que lo que se busca es la eliminación de la placa bacteriana, el sarro y manchas en los dientes, lo que sí se recomienda es evitar ingerir alimentos y bebidas al menos una hora después de su realización, siempre que se haya aplicado fluoruro.

El dentista o higienista dental te dará una serie de pautas y recomendaciones para seguir diariamente en casa
Aunque los profesionales de la odontología se refieren a la limpieza dental como un procedimiento sencillo, este debe cumplir un protocolo que permita al dentista o higienista lograr su objetivo: eliminar la placa bacteriana y el sarro acumulado en los dientes. Para ello, el tratamiento se lleva a cabo en diferentes pasos que te explicamos a continuación:
Durante esta revisión, el dentista podría ser el primer profesional en detectar algún tipo de complicación adicional y derivarlo al especialista indicado.
Recomendaciones finales: para culminar con la limpieza dental el dentista o higienista dental te dará una serie de pautas y recomendaciones para seguir diariamente en casa de cara a prevenir la acumulación de placa bacteriana y la formación de sarro.

Una limpieza mucho más profunda y meticulosa que permite eliminar el sarro
De acuerdo a MedlinePlus al cuidar adecuadamente los dientes y encías, estamos ayudando a nuestra boca a prevenir problemas como la caries y enfermedades importantes como la gingivitis o periodontitis. No obstante, aun cuando mantengas una correcta higiene bucal, es inevitable la formación del sarro producto de la acumulación de placa bacteriana que no puede ser removida con el cepillado diario y el uso del hilo dental, pero sí con una limpieza en manos de tu dentista. Para cada caso, existe un tipo de limpieza dental que puede adecuarse a las necesidades de tu boca:
Por otro lado, la higiene bucal que incluya el cuidado y limpieza de la lengua, pues en ella también se alojan un número importante de bacterias causantes del mal aliento y otras circunstancias que afectan la salud del paciente.

El paciente puede gozar de una dentadura más limpia y sana
Los expertos afirman que existe una clara relación entre la periodontitis y otras complicaciones de la salud como el derrame cerebral y la enfermedad coronaria. Asimismo, mujeres que padecen de enfermedades de la encía han mostrado mayor incidencia de desarrollar embarazos prematuros y por ende, nacimientos de bebés con bajo peso.
Por lo anterior, profesionales de la salud hacen especial énfasis en el cuidado bucodental y en revisiones y tratamientos preventivos que ayuden a mantener una boca en buen estado. A su vez, una de las principales ventajas de realizarse periódicamente una limpieza dental profesional son:

No deje de asistir a sus visitas regulares al dentista
Profesionales recomiendan no ingerir alimentos y bebidas inmediatamente después de haberse realizado la limpieza dental. No obstante, en caso de ser estrictamente necesario aconsejan evitar productos ácidos y abrasivos, sobre todo si se ha aplicado algún tratamiento con fluoruro.
Por otro lado, el paciente podría sentir cierta sensibilidad a temperaturas frías o calientes debido a la cantidad de sarro que se haya eliminado y que permite que la destina se exponga hasta que las encías vuelvan cubrir el espacio que ocupaba el cálculo dental. Aunque no todos los pacientes sufren de sensibilidad después de una limpieza dental, es completamente normal que pueda durar algunas horas e incluso días.
Asimismo, expertos realizan algunas recomendaciones que pueden ayudar a mantener la limpieza por mucho más tiempo. En ese sentido, MedlinePlus promueve las siguientes prácticas:

Dientes más claros y una sonrisa agradable
Profesionales de la Clínica Dental y Estética Quiros explican que una limpieza dental recibida con regularidad remueve la placa bacteriana que se acumula aun con el uso cuidadoso del cepillo y el hilo dental, y que con el tiempo podría causar enfermedades graves de encía. Los resultados después de una limpieza dental regular son muy visibles toda vez que permite:
Tratamientos más populares
Abdominoplastía
Aumento mamas
Borrar tatuajes
Rinoplastia
Otoplastia