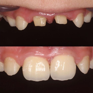
¿Cuánto cuesta un implante dental?

Estimada Josefa,
Los precios de los implantes dentales varían en el mercado, en función de sus necesidades únicas. El mismo dependerá de la salud general de su boca. También deberá considerar otros aspectos, tales como la experiencia del...









